Without early detection, dental problems can easily become uncomfortable and costly. Fortunately, routine dental X-rays can help detect many early dental problems, including those not visible to the naked eye! At Overland Park Family Dental, Dr. Gallagher and our team use digital X-rays to monitor teeth, plan custom treatments, and more. To learn more about digital X-rays and the many benefits a dental X-ray can offer, please get in touch with us!

Are Dental X-Rays Safe?
Dental X-rays play an important role when it comes to maintaining and monitoring your oral health. Fortunately, due to advanced dental technology, dental X-ray safety has significantly improved. At many dental offices, including our dental office in Overland Park, dental X-rays are now digital. Digital X-rays produce a significantly lower level of radiation and are considered safe. Even though digital X-rays are considered safe, our team still takes precautions like using lead apron shields to protect your overall well-being.
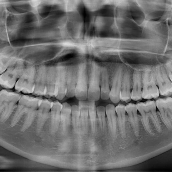
What Can A Digital X-Ray Detect?
Digital X-rays have revolutionized insight into a patient’s oral health. Digital X-rays can detect a wide range of conditions but are commonly used to identify bone fractures, dental issues, and misalignment. At your appointment, what our dentist can detect will vary on the type of dental X-ray taken. For example, panoramic X-rays provide an entire view of the mouth in a single image, while a bitewing dental X-ray shows the upper and lower teeth in one area of the mouth.
Digital X-Rays Vs. Traditional X-Rays
Digital X-rays are one of the most advanced diagnostic tools our team uses to provide quality care. Instead of an X-ray being developed on film, digital X-rays are instantly displayed on a monitor. Not only do digital X-rays offer a faster result, but they’re eco-friendly, can be stored digitally, and are easy to enlarge. When considering digital X-rays vs. traditional X-rays, it’s often clear that digital X-rays have a lot to offer!
Ready to schedule your next appointment? We’re ready to see you!